- HOME ›
- 審美治療
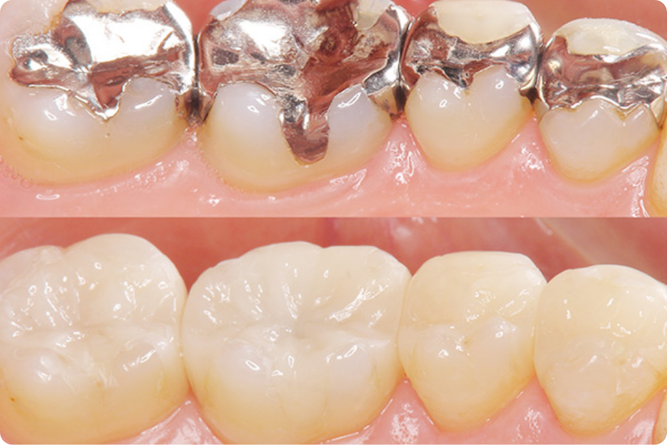
セレック保険外診療
綺麗な白い歯(上質なセラミック)を1日で!!-

当院では、白い詰め物や被せ物を作るための審美治療システム「セレック3D」を導入しました。
詰め物やかぶせ物をたった1回の来院で、白く目立たないセラミックの詰め物に治すことのできる、光学印象(カメラによる型どり)と3Dプリンター技術を駆使した審美治療法です。ドイツ製の光学印象用カメラで口腔内を撮影するだけ。従来のような型取りは一切不要です。
審美治療セレック


セレック3Dは修復物の設計から製作まで全てコンピューターで行うことにより、技工ステップの省略をはじめ作業ステップの削減や短縮が可能なため製作時間が大幅に短縮できます。そのため患者様の通院回数を減らすことは元より、1回の治療で全ての治療を行う「One Day Treatment」が可能となります。他にも麻酔が効いているうちに治療が終了できるので痛みなくセットまでできたり、仮の歯を作る必要がない等のメリットがあります。
※歯の状態によります。詳しくは担当医にご相談ください


セレック治療の流れ
- 口腔内撮影
3D光学カメラを使用して、

模型または患部を撮影。
モニター上に再現されます。 - 修復物の設計・加工
モニター上の立体画像を使って微調整し、

患者様に最適な修復物の形を設計します。 - 自動切削
設計後はミリニングユニットに

セラミックブロックをセットし、ミリングを開始。
わずか十数分でミリングは終了し、セットする事が出来ます。 - 装着
歯質と緊密に接着できるため、むし歯になりにくく、壊れにくいです。
セレック治療のリスクと副作用
- 銀歯より歯の切削が多くなる事があります。
- しみる可能性があります。
- 被せや詰め物が割れる事があります。
費用について
| セレックインレー(部分的な詰め物) | 44,000円 |
|---|---|
| セレックアンレー(歯の4/5を覆った詰め物) | 44,000円 |
| セレッククラウン(被せ物) | 88,000円 |
5年の保証期間があります。
(ただし、年1~2回の定期検診の受診が条件となります)
ダイレクトボンディング保険外診療
歯を削らず隙間を埋める審美治療
健康な歯質を極力削ることなく、高性能接着材と歯と同色の修復材料とで歯の修復を行う治療です。
健康な歯を可能なかぎり削らないので歯に優しく、麻酔をする必要もありません。治療は基本的に1日で完了します。ただし、奥歯などの大きな力がかかる所には使用できません。大きな力が加わると欠ける恐れがあります。(※歯を削っていませんので再修復も簡単で歯に優しいです。)
[接着材料]クリアフィルメガボンド

1999年に登場して約15年間、その高い接着力は多数の論文データもあり日本はもとより海外でも広く使用されている信頼のおける接着材料です。
[修復材料]エステライトアステリア

電子材料や合成樹脂・フィルムの製造・販売で知られるトクヤマ社の技術を応用した高性能修復材です。 着色などの汚れが付きにくく、着色したとしても歯科医院での再研磨で元の輝きがすぐに取り戻せます。
ダイレクトボンディングのリスクと副作用
- 詰め物が割れる事があります。
- 長期経過すると変色のおそれがあります。
審美治療に関してのよくある質問
- どうして歯のつめ物やかぶせ物は銀色なの?
-
基本的に日本の医療保険制度では、上の前歯6本、下の前歯6本以外のかぶせ物はJIS規格で決められた金銀パラジウム合金のかぶせで修復することとなっています。このため。もし白いかぶせをご希望でしたら保険適用外にはなりますが、白い材料でかぶせ直すことができますので、いつでもご相談下さい。

白い材料には色んな材料がありますが、選ぶポイントとしては、
- 白くて自然な美しさ
- 耐久性
- 身体への優しさ(虫歯になりにくいとか金属アレルギーの有無)
があります
- 歯のガタガタを治すには、どうすればいいの?
-
審美補綴(歯を削ってかぶせる方法)
歯を削ったり、歯の神経を取ったり、時には歯を抜いたりする必要がありますが、人工の冠をかぶせることにより治療します。歯の並びだけでなく、色や形もキレイに仕上がります。(歯を削った場合も、ちゃんとその日に仮歯が入るので、治療中も他人にわかることはありません)
プチ矯正(前歯だけの部分矯正)
期間は4~6ヶ月程かかるかもしれませんが、歯を削らずに自分の歯で並べることが出来るのがメリットです。
- 歯の隙っ歯を治すにはどうすればいいの?
-
ラミネートベニア
歯の表面を薄く削り、上からラミネートシェルを装着する方法(付け爪のようなイメージ)により2回で改善できます。
プチ矯正
期間は4~6ヶ月程かかるかもしれませんが、歯を削らずに自分の歯で並べることが出来るのがメリットです。

- 歯の着色が気になるんですけど、どうすればいいの?
-
ホームホワイトニング
患者さんに合ったマウスピースを作って、そこに薬剤を入れて漂白していく方法。歯を全体的に白くすることができます。ラミネートベニア
歯の表面を薄く削り、上からラミネートシェルを装着する方法(付け爪のようなイメージ)で歯をあまり削らずにすむ上に、歯の色調だけでなく形・大きさまでキレイにできます。


- 昔に入れたかぶせものの境目が黒くなってきています。つめ物の色も変色しています。どうすればいいんでしょうか?
-
年齢とともに歯ぐきが痩せてたことによる、歯の根の露出によるものか、冠の中にある芯棒(コア)により歯肉が変色してきたために起こります。昔の一部の金属の材料で作った金属の土台は、『歯の根の破折』や『歯や歯ぐきの黒ずみ』を生む原因となります。芯棒を最新の材料に変えて(ファイバーコアなど)冠のやり変えをおすすめします。
前歯の冠も保険適用の白い冠(レジン前装冠)だと歯磨きや食事により摩耗し、色を吸収しますので(レジンはプラスチック)、経年的に変色してきます。

この変色を目立たなくするためには、冠を作り変えれば改善しますが、保険の冠だと数年後また同じことが起こります。 前歯の見えるところなので、気になられる方はセラミックの冠をおすすめします。

〒534-0016 大阪市都島区友渕町3-1-28
| 診療時間 | 月 | 火 | 水 | 木 | 金 | 土 | 日 |
|---|---|---|---|---|---|---|---|
| 9:00-12:00 | |||||||
| 14:00-19:00 |
土曜9:00~13:00
最終受付午前診療11:30まで午後診療18:30まで










